🎉 Brentwood New Year Promo: £50 off all NIPT tests for January & February! Book Now

Blog

Abdominal Aortic Aneurysm Screening

Sunday 12th March 2017

Abdominal aortic aneurysm (AAA) screening is a way of detecting a dangerous swelling (aneurysm) of the aorta – the main blood vessel that runs from the heart, down through the abdomen to the rest of the body. This swelling is far more common in men aged over 65 than it is in…

view more »

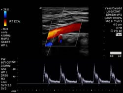
Stroke & Carotid Artery Disease

Sunday 12th March 2017

Carotid artery disease is a common cause of stroke. What is carotid artery disease? The carotid arteries supply oxygenated blood to the large front part of the brain. This part of the brain controls thought, speech and personality as well as our sensory (our ability to feel) and motor (our ability to move) functions. Carotid artery disease is the name given to narrowing (stenosis) of one or both of the carotid arteries, located at the front of your neck. The underlying cause of carotid artery disease is usually atherosclerosis (the build-up of fibrous and fatty material inside the arteries), in this case in the…

view more »

Weight Gain In Pregnancy

Thursday 9th March 2017

Weight gain is a normal and natural part of a healthy pregnancy. Learn how much weight you should gain depending on your BMI, how to gain weight safely, and why dieting is not recommended. Weight gain: a natural part of pregnancy Weight gain in pregnancy is healthy, natural and necessary. Aside from the additional weight of your baby and increased fluids, your body gradually lays down some fat stores. “Your calorie requirement during pregnancy only increases in the third trimester, when you need an extra 200 calories per day.” During your first and second trimesters your energy needs are the same as before pregnancy. Eating for two simply…

view more »

Vitamins & Supplements For Conception

Sunday 26th February 2017

Maintaining a healthy, balanced diet before conception and during pregnancy will help to supply adequate nutrition to your growing baby. Taking supplements that contain key nutrients prior to conception and during pregnancy will enhance your healthy diet and help provide additional support as your baby grows. But which vitamins are most important to take while trying to conceive? Discover the roles of folic acid and vitamin D, and why you should include them in your pre-conception diet. Adding some oomph to your diet Eating a varied diet can help…

view more »

What To Eat To Conceive

Saturday 25th February 2017

From eating a nutrient-rich diet to taking key nutrients in the form of supplements, what you eat can play an important role in increasing your potential to conceive. Discover the benefits of a balanced diet for both you and your partner, and which foods to include to give yourself the best chance of a successful pregnancy. Eating your way to pregnancy Before you start trying to conceive, it's important for both you and your partner to maintain a healthy diet. Eating well, avoiding alcohol, and being within the right weight range for your height will improve your chances of conceiving and will set the conditions for the optimum development…

view more »

Foods To Avoid When Trying To Conceive

Friday 24th February 2017

Nutrition and lifestyle choices can influence your chances of conceiving and your baby’s development once you do become pregnant. In fact, nutrition at this critical stage can also have an impact on your developing baby and their long-term health. For these reasons, you and your partner may wish to pay special attention to your conception diets, and find alternatives for the foods best avoided when trying to conceive. Your conception diet – what’s on or off the menu? Foods to avoid when trying for a baby are the same as those you should avoid or limit when you're pregnant. So finding alternatives now will stand you in good stead. “Trying for a baby can be stressful. But eating…

view more »

Learning Language In The Womb

Tuesday 21st February 2017

When babies begin to hear the world around them, the most important sound they’ll discover is their mother’s voice. This familiar noise will calm and soothe them and lays the foundation for their…

view more »

40 Weeks Pregnant

Thursday 16th February 2017

By the time you're 40 weeks pregnant, your baby is fully developed and ready for birth. Their nutrition will then be reliant on your own diet via your breast milk, so it’s important to maintain the healthy eating habits that have been beneficial throughout pregnancy. Learn why foods rich in LCPs (long chain polyunsaturated fatty acids) are an essential part of a healthy breastfeeding diet, and how to get them. Week 40: Ready to say hello? Over the last 40 weeks, your baby has grown from a single…

view more »

Early Signs of Pregnancy

Wednesday 15th February 2017

Understanding the early signs of pregnancy Maybe your period’s late or your boobs are sore – whatever the signs, you really think you might be pregnant. So what do you do? Here’s our guide to finding…

view more »

7 Weeks Pregnant

Tuesday 14th February 2017

During week 7, your baby’s arm buds are emerging and flat, paddle-like hands are forming. Iodine supports your baby’s growth at this time. Discover which foods contain this mineral, and why you may want to ask your doctor about taking a daily iodine supplement. Hands are emerging At 7 weeks pregnant, your baby measures anywhere between 42 and 10mm3 long. They are assuming a more baby-like appearance, with arms buds becoming longer, and flat, paddle-like hands emerging. At this stage, your baby’s head is growing faster than their body; a reflection of the rapid and intense brain growth that is happening. Their heart is also developing, and…

view more »

Folic Acid in Pregnancy

Monday 13th February 2017

Folic acid supports your baby’s earliest development, making it a key nutrient for your first trimester of pregnancy. Learn what it does, how much is recommended, and which foods can help to increase your intake to reduce the risk of neural tube problems. Folic acid – protecting your baby’s future health Even before you know you’re pregnant, folate, or folic acid in its manufactured form, is doing its job of supporting your baby’s development.…

view more »

Exercises to Avoid During Pregnancy

Sunday 5th February 2017

If your pregnancy is straightforward and your doctor or midwife has given you the go-ahead, you can carry on exercising and even start a new routine. Studies now show that it is, in fact, highly beneficial for expectant mums to exercise, or get Active for 2. But there are…

view more »

Book a Package